Teeth Whitening in Valencia, CA
Teeth Whitening Near You
A white, bright smile can boost your confidence and leave a lasting impression. Dr. Brian Gradinger’s practice provides safe and effective teeth whitening in Valencia, CA, allowing you to obtain the dazzling smile you’ve always desired in a matter of minutes. Our in-office whitening procedures are carefully tailored to remove stains and discoloration to produce noticeable results in one visit.
What is In-Office Teeth Whitening?
Teeth whitening near you is available through professional in-office treatments provided by your trusted dentist in Valencia. Unlike store-bought products, this treatment uses stronger, professional-grade materials and techniques to whiten your teeth by several shades in a short amount of time. The process is carefully controlled to ensure comfort and effective results.
Benefits of Teeth Whitening
Selecting professional teeth whitening near you offers numerous benefits:
- A rapid, noticeable smile results from a single visit.
- Safe treatment under the care of a skilled dentist
- Eliminates tough stains from coffee, tobacco, and age
- Connects your smile for a special event or everyday self-assurance
- Long-lasting results with effective care and maintenance
What to Expect at Your Whitening Appointment
Your whitening treatment consists of:
- Initial Consultation: Our dentist near you will need to examine your teeth and discuss what your whitening goals are.
- Preparation: A protective barrier will be placed on your gums and soft tissues.
- Application: Your whitening gel will be placed on your teeth and activated with a light or laser to provide the best whitening outcome.
Post-care: We will provide you with helpful maintenance recommendations to keep your bright smile, as well as possibly some take-home products to maintain it.
Maintaining Your Whitened Smile
After your in-office whitening treatment, it’s important to care for your smile properly to keep it looking bright and beautiful for as long as possible. Stay away from staining foods and beverages, including coffee, tea, red wine, and berries. Stopping smoking will also maintain your results. Brushing, flossing, and regular checkups with Dr. Gradinger will keep your healthy teeth and dazzling smile. We can also provide you with personalized take-home whitening kits to allow you to brighten your smile at will.
Get a Brighter Smile with Teeth Whitening in Valencia
Ready to brighten your smile? Our experienced dentist, offers professional teeth whitening to help you achieve a radiant, beautiful smile with confidence. Call to schedule an appointment at (661) 287-9650 with an experienced dentist in Valencia, California. Professional care will brighten your smile and boost your confidence.
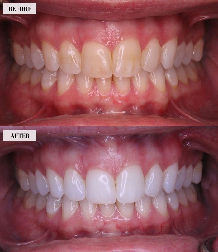
Case Samples
Routine Cleaning and Bleaching
- Patient came in with stained teeth and irritated gum tissue
- We recommended a simple cleaning along with some custom bleach trays
- We took the conservative approach and only did what was needed to brighten her smile since her natural tooth shape and size did not need adjustment or modification
FAQs
What are the different methods available for teeth whitening?
Teeth whitening in Valencia may be performed both at home and at the dental practice. In-office whitening involves the use of high-gel concentration and a special light for a quick outcome. Home kits use custom trays and whitening gel that you apply at home.
How long do the effects of professional teeth whitening last?
Is teeth whitening safe for everyone?
Teeth whitening is safe for the majority of individuals. It should not be used for children, pregnant women, or individuals with extremely sensitive teeth. Your dentist will examine your mouth to make sure that it will be safe for you.
Can teeth whitening treatments be customized to individual needs?
What should I avoid after undergoing teeth whitening procedures?
After teeth whitening, avoid coffee, tea, red wine, and dark foods for about two days. Also, try not to smoke. These can stain your teeth again.
Are there any side effects associated with teeth whitening treatments?
There may be some tooth sensitivity or slight gum redness after receiving teeth whitening near you, which is normal and can wear off in a few days. Using toothpaste for sensitive teeth can help.


