Deep Dental Cleaning in Valencia, CA
Deep Dental Cleaning Near You
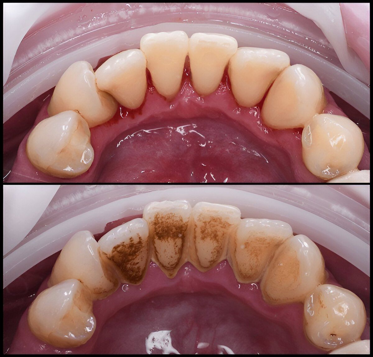
Keeping your teeth and gums healthy requires more than just brushing and flossing. Here at Dr. Brian Gradinger, DMD, we offer professional deep dental cleaning in Valencia, CA, to eliminate stubborn plaque and tartar, prevent gum disease, and get your gums back to health. Deep dental cleaning is an important treatment for patients experiencing gum inflammation, bleeding, and early signs of periodontal disease. Knowing you’ve chosen a skilled dentist makes a world of difference, and our experienced team would be happy to provide you with complete, gentle care based on your oral health needs.
What Is Deep Dental Cleaning?
Deep dental cleaning near you is also called scaling and root planing. This extensive dental treatment is intended to thoroughly remove plaque and tartar above as well as below the gum line. During the cleaning process, the tooth roots were smoothed, allowing the gums to reattach to the teeth, lowering the gum tissue inflammation, and preventing further periodontal issues from occurring in your mouth.
When Do You Need Deep Dental Cleaning?
- Gums that bleed during brushing or flossing.
- Persistent bad breath or gum inflammation.
- Gums that are receding and exposing more of the tooth.
- Gum disease or early signs of periodontal pockets.
If you are experiencing any of these signs, then visiting a dentist near you can help you find out if you need to be treated with a deep dental cleaning.
Our Deep Dental Cleaning Process
- Initial Visit & Evaluation: The dentist completes a full evaluation of the gums and teeth and may take X-rays of bone levels and health of supporting tissues.
- Scaling: We gently remove plaque and tartar from both above and below your gum line.
- Root Planing: The roots of your teeth are smoothed so your gums can attach properly and stay healthy.
- Follow-up visits: The healing is evaluated to determine that tissues have returned to normal and that the treatment was successful.
- Maintenance: re-evaluation, cleaning, and practicing proper oral care at home to prevent periodontal issues from recurring.
How Often Is Deep Dental Cleaning Necessary?
The frequency of deep dental cleaning in Valencia, CA, is based on your gum health. If you are suffering from early disease or gingivitis, you may require deep-cleaning treatment every six months to a year, with regular maintenance cleanings in between. Your dentist will create a custom plan just for you, based on the health of your teeth and gums.
Why Choose Us?
- Our Professionals: Building on a family legacy in dentistry, Dr. Brian is talented in all areas of restorative dental care and has a lifelong mission to help patients achieve ideal oral health.
- Insurance: We are in-network with many insurance plans and will help you understand your coverage for deep dental cleaning near you.
- Flexible Payment Plans: Our payment plans allow everyone to receive the dental care they need.
- Payment Options: All major credit cards, checks, and electronic payments are accepted.
- You Will Not Wait: We accept our patients one at a time and do not keep them waiting long. We respect their time.
- Comfort Care Techniques: Our customized anesthetic delivery systems ensure patients experience comfort and minimal pain.
Refresh Your Gums, Renew Your Confidence!
Wondering where to find a caring, skilled dentist in Valencia, CA? Dr. Brian Gradinger, DMD, and our team welcome patients from Valencia and nearby areas. Reach out at (661) 287-9650 to begin your journey to a healthier smile.
FAQs
Is deep dental cleaning uncomfortable?
Most patients have mild discomfort, but local anesthesia will be used to minimize discomfort.
What is involved in caring for my gums after deep dental cleaning?
Follow your dentist’s instructions and your regular routine of brushing, flossing, and rinsing with any prescribed mouth rinse to aid the healing of your gums.
How long does deep dental cleaning take?
Deep dental cleaning will depend on the severity of your gum disease and can take place in one visit or multiple visits.
Can deep dental cleaning stop gum disease from getting worse?
Yes. When deep cleaning is combined with proper home care and regular dental checkups, it can effectively avoid further damage to your gums.


