Dental Crowns in Valencia, CA
Dental Crowns Near You
After a tooth is cracked or decayed, or if your tooth is chipped or damaged, dental crowns in Valencia, CA can be a sure method of reviving your tooth strength and cosmetic beauty. We will offer you the best quality dental crowns to cap your teeth and get your stunning smile back at Dr. Brian Gradinger’s office.
What are Dental Crowns?
Also referred to as caps, crowns are specially tailored coverings fitted over deteriorated teeth. Crowns restore a tooth to its natural shape, size, strength, and appearance. Crowns are crafted from long-lasting materials such as porcelain, ceramic, or metal that support your own tooth while having the same cosmetic look.
Our dentist in Valencia, CA employs his long experience to fit your crowns exactly to your teeth and cosmetically beautifully make them just exactly like your smile.
Benefits of Dental Crowns Near You
Crowns have many advantages:
- Prevent weakened or broken teeth from being further destroyed
- Restore the chomping and crunching function
- Make stained, cracked, or deformed teeth look more attractive
- Hold dental bridges to replace gaps where teeth are missing
- Cover dental implant
- Last for long periods with correct care
Who Needs Dental Crowns?
You might need a dental crowns near you if you have:
- A big cavity or tooth rot that cannot be repaired with a filling
- A broken, cracked, or worn-out tooth
- Had root canal treatment and requires additional coverage
- Have a dental implant and require a crown for restoration
Dr. Gradinger will thoroughly review your teeth and prescribe crowns if they are ideal for your oral health.
What to Expect During Your Dental Crown Treatment
The dental crown process usually requires two visits:
- Tooth Preparation: Your tooth is prepared to hold the crown. Impressions are taken to allow a specially fitted crown. A temporary crown may be placed.
- Crown Placement: When your new permanent crown is ready, Dr. Gradinger will cement and seat it in place for function and comfort.
Restore Your Smile with Dental Crowns in Valencia
Do not let broken teeth hold you back. Our caring dentist near you can help restore your smile and oral health with expert dental crowns. Call (661) 287-9650 to book your appointment with a trusted dentist. Let us protect and enhance your teeth with quality dental crowns.
Case Samples
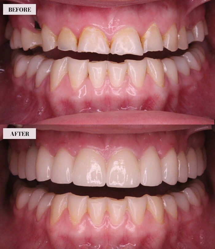
13 Porcelain Crowns and Single Porcelain Implant Crown
- Patient has history of severe clenching, and grinding.
- After restoring all areas of decay over the past few years it was time for her to get a NEW SMILE!
- After years of severe grinding and attrition, the patient had a collapsed bite, meaning her top and bottom teeth had become shorter and closer together.
- Our patient’s excessive grinding even resulted in one tooth cracking so severely that we had to remove the tooth and replace it with a dental implant.
- To stabilize the patient’s teeth and jaw for the long term we recommended that we open her bite back to its original position prior to the grinding.
- To accomplish this, we recommended new crowns on all of her top teeth including one implant crown.
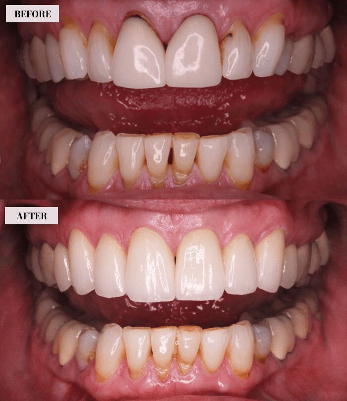
Eight porcelain crowns
- Long time patient has never liked her smile but was too busy with work to make time for herself
- Her retirement gift was a NEW SMILE!!
- Patient had existing crowns on her two front teeth, and large fillings on adjacent teeth
- Patient also has a strong bite and clenches which has lead to some gum recession
- In order to complete an adequate smile transformation we recommended eight teeth be included
- Patient has existing crowns on her back teeth which did not need to be replaced at this time
FAQs
What is a dental crown and when is it necessary?
How long does the dental crown procedure take?
The dental crowns procedure usually takes 1 or 2 visits. The first visit is to shape the tooth and take an impression. The second visit is to put on the permanent crown. Some clinics can make the crown the same day.
What materials are used for dental crowns and how do they differ?
Dental crowns in Valencia can be made from porcelain, ceramic, metal, or a mix.
- Porcelain and ceramic look natural.
- Metal crowns are very strong.
- Porcelain-fused-to-metal is strong and looks natural.
Your dentist will help you pick the best one.
Is there any discomfort associated with getting a dental crown?
How should I care for my dental crown to ensure its longevity?
- Brush and floss your teeth every day
- Do not chew hard foods on the crowns
- Visit dental clinics for regular checkups
Good care helps the crown last many years.


