5 Essential Steps Involved in Getting Dental Veneers

Dental veneers are a fantastic way to transform your smile, offering a solution for everything from misshapen teeth to discoloration. They are one of the most popular treatment options in cosmetic dentistry in Valencia, California. Dr. Brian Gradinger offers cosmetic veneers to help his patients improve their smiles. Veneers are long-lasting and extremely durable. When veneers are used to enhance your smile, they also boost your self-confidence. If you’re considering this cosmetic dental procedure, here’s a streamlined guide to what you can expect from the process:

Initial Consultation and Examination

Your journey to a brighter smile begins with a detailed consultation with your dentist. This initial step is crucial for assessing the health of your teeth and gums to ensure you are a suitable candidate for veneers. Your dentist will discuss your aesthetic goals, examine your oral health, and possibly take x-rays. This is the perfect time to ask questions and understand if veneers are your right choice.

Tooth Preparation

Once you’re deemed a good candidate for veneers, the next step involves preparing your teeth for them. This usually means removing a small amount of enamel from the front surface of your teeth. The amount is minimal but necessary to accommodate the veneer. This part of the process is typically done under local anesthesia to ensure comfort.


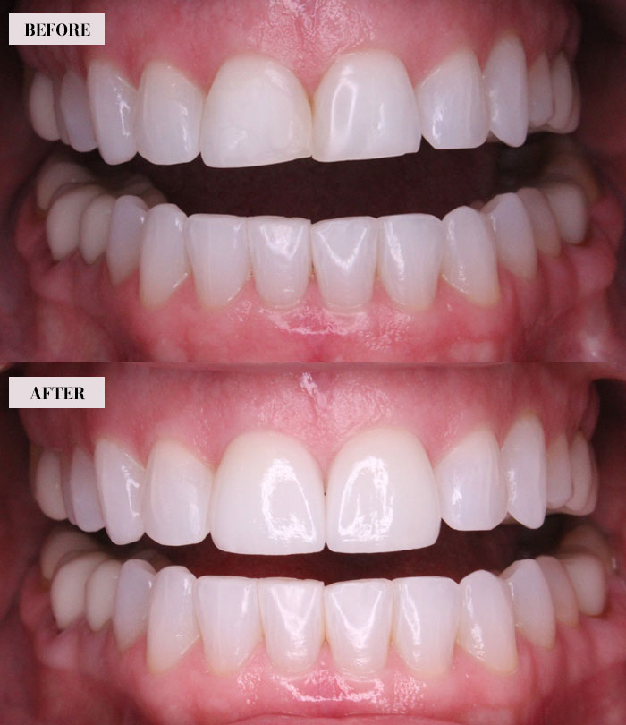
Case Sample – Two Dental Veneers

  • Patient has existing bonding which was failing and worn front teeth
  • Patient requested to both stabilize her front teeth and get a NEW SMILE!
  • We recommended she receive two veneers
  • Patient was so happy to have her smile back!
2 Dental Veneers - After Image - Brian Gradinger DMD
2 Dental Veneers - Before Image - Brian Gradinger DMD
2 Dental Veneers - After Image - Brian Gradinger DMD

Creating a Perfect Mold

After your teeth are prepared, your dentist will make impressions of your teeth. The impressions taken are critical as they serve as precise guidelines for the dental lab fabricating your custom veneers. This guarantees that your veneers will fit flawlessly and appear completely natural. At that same appointment, you receive temporary veneers to protect your prepared teeth while your permanent veneers are being made.

Veneer Fabrication

After your impressions are sent to the lab, the creation of your custom veneers begins. This process can take a few weeks. Dental technicians will meticulously craft your veneers to match the color and shape specifications that best suit your smile. High-quality materials such as porcelain are commonly used for their durability and natural appearance.

Application and Follow-Up

The final step in the process is the application of your veneers. Once your dentist has received your custom veneers from the lab, you’ll be called in for the cementation. Your dentist will carefully apply a unique adhesive to your teeth and place the veneers on top. A special light is then used to harden the adhesive quickly. After some final adjustments and a thorough cleaning, your new smile is ready. You may be scheduled for a follow-up visit to ensure your veneers fit well and are comfortable.

Maintenance

While veneers are relatively maintenance-free, good oral hygiene practices are essential. Regular brushing, flossing, and dental check-ups will help keep your smile looking its best. To ensure their longevity, avoid using your veneers as tools to open packaging or biting into very hard foods.

Explore Your Cosmetic Dentistry Options with Our Team – Schedule Your Appointment Today!

When you visit Brian Gradinger, DMD in Valencia, CA, to learn about cosmetic dentistry options like veneers, you can make an informed decision. Our team will go over your options with you. They will describe the process, the benefits, and what type of maintenance care each option requires. Please call us at (661) 287-9650 to schedule an appointment. We are here to help!

661-382-3835